Серии
От 2 до 10 изображений, которые объединены по теме и загружены в виде серии файлов.
Лунная механика: Хронофотография
Фотобиореактор "Каскад-1"
Аэродинамика хрупкого
Секреты океана
Загадочный мир альголога
Еда под микроскопом / Food under the microscope
Стрекоза / Dragonfly
Деньги под микроскопом
Зеленый астронавт
Дрозофила мутант
Крым под микроскопом
Микроскульптуры
Человек. Природа. Артефакты.
Остров Симушир. Земляника ниппонская. Сбор данных
Микроизображения
Не дождавшись тепла среди зимнего дня, распустились цветы на окне у меня!
Кристалл галогенидного перовскита в трёх режимах поляризационной микроскопии (A halide perovskite single crystal observed in three modes of polarized light microscopy)
Мышиный глаз. здоровый и не очень.
Полируемость композитных материалов для временных конструкций.
Ледяные галактики
Мир тлей
Подлесноит
Затерянный во времени
Внекорабельная деятельность на имитаторе лунной поверхности в рамках годовой изоляции с моделированием лунной миссии SIRIUS-23
Годовая миссия на МКС/One year in space onboard ISS
Развитие эмбриона курицы
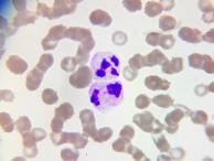
Клетки крови
Морозная изморозь
Лоскутное одеяло Сибири
Мультивселенная под микроскопом
Школьный стадион
Кохпиак: деревня народа катёк
Взгляд изнутри: Материалы под прицелом инженеров
В ожидании рентгеновской дифракции
Скрытая красота алмаза
Вулканические озера
Макро снежинки
Озеро Эльтон – жемчужина Волгоградской области
Снежинки
Культура перитубулярных миоидных клеток семенников крысы
Это не волшебство. Это физика!
Органические человечки (The Organic Men)
Аншлиф метеорита Gandom Beryan 002
Маленькие помощники
Скетчбук внутри аквамарина или как природа рисует в камне.
Внутренний мир прибора
Макроскопический мак
Жизнь коротка…
Красота хроматографии / The beauty of chromatography
Лед
Лунная механика: Хронофотография
Загадочный мир альголога
Зеленый астронавт
Человек. Природа. Артефакты.
Кристалл галогенидного перовскита в трёх режимах поляризационной микроскопии (A halide perovskite single crystal observed in three modes of polarized light microscopy)
Мир тлей
Годовая миссия на МКС/One year in space onboard ISS
Лоскутное одеяло Сибири
Взгляд изнутри: Материалы под прицелом инженеров
Макро снежинки
Это не волшебство. Это физика!
Скетчбук внутри аквамарина или как природа рисует в камне.
Красота хроматографии / The beauty of chromatography
Фотобиореактор "Каскад-1"
Еда под микроскопом / Food under the microscope
Дрозофила мутант
Остров Симушир. Земляника ниппонская. Сбор данных
Мышиный глаз. здоровый и не очень.
Подлесноит
Развитие эмбриона курицы
Мультивселенная под микроскопом
В ожидании рентгеновской дифракции
Озеро Эльтон – жемчужина Волгоградской области
Органические человечки (The Organic Men)
Внутренний мир прибора
Лед
Аэродинамика хрупкого
Стрекоза / Dragonfly
Крым под микроскопом
Микроизображения
Полируемость композитных материалов для временных конструкций.
Затерянный во времени
Клетки крови
Школьный стадион
Скрытая красота алмаза
Снежинки
Аншлиф метеорита Gandom Beryan 002
Макроскопический мак
Секреты океана
Деньги под микроскопом
Микроскульптуры
Не дождавшись тепла среди зимнего дня, распустились цветы на окне у меня!
Ледяные галактики
Внекорабельная деятельность на имитаторе лунной поверхности в рамках годовой изоляции с моделированием лунной миссии SIRIUS-23
Морозная изморозь
Кохпиак: деревня народа катёк
Вулканические озера
Культура перитубулярных миоидных клеток семенников крысы
Маленькие помощники
Жизнь коротка…
