Что показывает микроскоп: «Снимай науку!» публикует работы участников конкурса

Необычные, удивительные миры существуют буквально повсюду. И микроскоп — одно из устройств, позволяющее заглянуть туда, куда не может заглянуть глаз обычного человека, ведь микроскопы могут увеличивать изображение до 10 000 000 раз.
Как выглядит молекула воды? Как делятся клетки? Что будет, если изменить условия микроскопического исследования?
Смотрите фотографии наших участников и присылайте свои. Делитесь с окружающими своими мирами!
На фото запечатлены микрочастицы меди, напоминающие крошечные металлические цветы. Их изящные лепестки, раскрытые под объективом электронного микроскопа, таят в себе не только красоту, но и силу. В мире, где надежда борется с отчаянием, эти структуры становятся оружием науки против одной из самых страшных болезней человечества — рака.
Этот снимок открывает нам красоту и сложность растительного мира на микроуровне, а также показывает, как свет может помочь изучить его свойства. Так, эфирное масло мирта при облучении светом с длиной волны 420 нм светится ярко-желтым цветом, а при облучении ультрафиолетовым светом с длиной волны 360 нм — характерным для мирта обыкновенного сине-голубым цветом. Эти особенности свечения являются диагностически значимыми и специфическими для данного вида растения и могут быть использованы при разработке нового лекарственного растительного сырья из листьев мирта обыкновенного.
Нейтрофильные внеклеточные ловушки — один из механизмов, с помощью которого нейтрофилы (разновидность лейкоцитов — белых клеток крови) защищают организм человека от инфекций. Фото сделано с помощью флуоресцентного микроскопа после окраски клеток с помощью ДНК-красителя (синий) и одновременной окраски антителами к компонентам НВЛ — миелопероксидазе (зеленый) и нейтрофильной эластазе (красный).
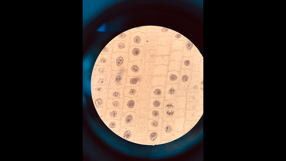
Клетки лука (Állium cépa) после обработки корневого чехлика раствором колхицина остановились на разных стадиях деления (метафаза, анафаза, телофаза). На препарате также видны клетки с двумя ядрами.
Полный список номинаций конкурса:
- «Люди в науке»
- «Микроизображения»
- «Нефото»
- «Серии»
- «Наука вокруг»
- «Природа»
- «Космос»
- Специальная номинация «Политехника»
Мы приглашаем всех желающих: фотолюбителей, журналистов, ученых, студентов и всех, кто интересуется наукой и окружающим миром и готов передать свои идеи через фото.
Общий призовой фонд конкурса составит 210 000 рублей. Для номинации «Политехника» предусмотрен специальный приз, а также участники получат приз «Перспектива» за лучшую работу. Подробности о конкурсе — на сайте: https://naukatv.ru/film-science/photo. Мы ждем ваши фотографии!





