Эксперимент подтвердил, что микробы могут выживать при столкновениях планет

Новое исследование, опубликованное в журнале PNAS Nexus, показало, что некоторые бактерии способны выживать при условиях, аналогичных тем, что возникают, когда столкновение с астероидом выбрасывает материал планеты в космос.
Команда ученых смоделировала экстремальное давление, которое испытывают микробы во время мощного удара, например, того, что мог выбросить материал с Марса. В эксперименте клетки помещали между металлическими пластинами, а затем в них врезали снаряд со скоростью около 480 километров в час — это создает давление почти в 30 раз больше, чем на дне Марианской впадины. Суть в том, чтобы понять, выживают ли живые организмы в таких условиях.
Эксперимент как модель столкновения
Чтобы воссоздать удар метеорита в лаборатории, исследователи воспользовались газовой пушкой. Крошечный «бутерброд» из плоской мембраны с бактериями был зажат между двумя стальными пластинами. Когда снаряд врезался в эту конструкцию, давление на клетки резко возрастало.
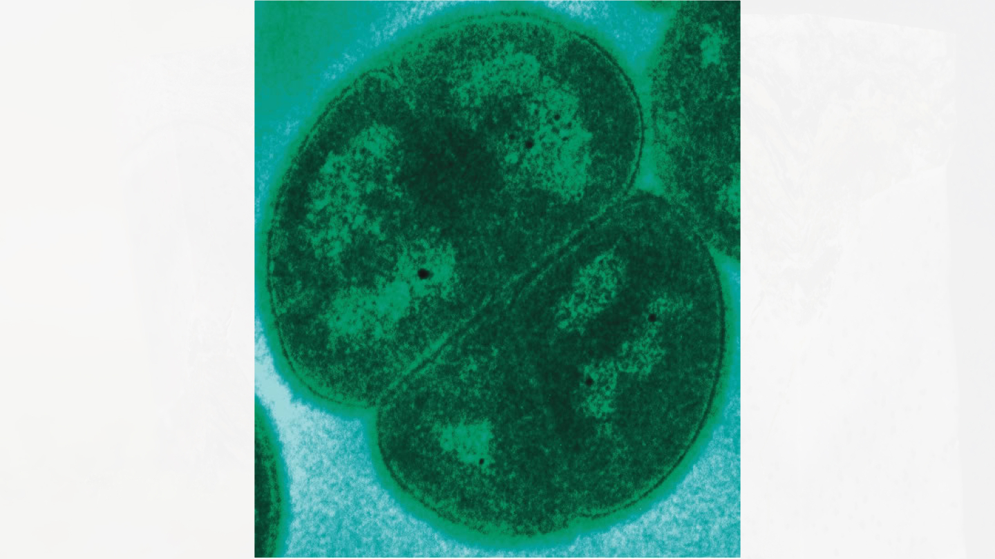
В эксперименте использовали бактерию Deinococcus radiodurans, известную своей способностью переносить суровые условия — сильное излучение, экстремальный холод и недостаток кислорода. Эти качества делают ее удобной моделью для оценки выживаемости микробов в космосе.
От удивления к уверенности
Результаты потрясли ученых. При давлении в около 1,4 гигопаскаля, эквивалентном более чем десятикратному давлению в глубоких океанах, почти все клетки оставались живы. Даже при 2,4 гигапаскаля, что намного выше земных условий, около 60 % бактерий выжили.
«Выживаемость была настолько высокой, что мне пришлось повторить тесты несколько раз, чтобы убедиться, что я ничего не перепутала», — говорит Лили Чжао, один из авторов исследования.
Чтобы выяснить, как именно клетки справились с травмирующим воздействием, ученые сравнили активность генов до и после эксперимента. Они обнаружили, что столкновение активировало гены, отвечающие за восстановление ДНК и ремонт клеточной мембраны. Эти механизмы могли помочь бактериям быстро исправлять повреждения, вызванные давлением.
Что это значит для теории о распространении жизни
Научная идея, согласно которой жизнь может переселяться между планетами на обломках космических тел, называется литопанспермия. Исследование поддерживает ее идею в принципе: если микробы могут пережить выброс в космос, они теоретически могут попасть на другой объект, например, с Марса на Землю или наоборот.
«Если на какой‑то планете есть жизнь, то некоторые организмы могут переместиться на соседний мир», — говорит Калиат Рамеш, соавтор исследования.
Устойчивость Deinococcus объясняется ее толстой клеточной стенкой, которая, как предполагают ученые, помогает клеткам выдерживать экстремальное давление. А способность быстро ремонтировать собственную ДНК делает ее особенно живучей.
Куда двигаться дальше
Ученые планируют провести дальнейшие опыты, подвергая последовательные поколения бактерий экстремальным ударам, чтобы выяснить, способны ли микробы адаптироваться к частым столкновениям.
Результаты также могут заставить по‑новому взглянуть на то, где искать следы жизни во Вселенной: если микробы способны выживать при таких катаклизмах, шансы обнаружить биологические следы на других планетах или их спутниках становятся выше.










